#ThursdayThoughts
As promised, each Thursday, we will now offer you a piece of educational, science, or research related information. The purpose of our #ThursdayThoughts post is to share with you fact-based content that can enlighten and assist you on your fertility journey. Enjoy our post! Helping to Create New Beginnings….
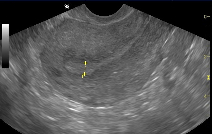
Evaluation of the Uterine Cavity
Evaluation of the uterine cavity is an important part of fertility testing. The uterus is where a pregnancy should implant and grow; issues within the uterus are associated with infertility, pain during pregnancy, preterm delivery, and miscarriage.
A transvaginal ultrasound is often the first step in a uterine evaluation. It can be used to check for the presence of fibroids, abnormalities of the uterine lining, and other uterine pathologies such as certain Mullerian anomalies and endometriosis within the uterine wall (adenomyosis). A saline-infusion sonohysterogram (SIS) can be used to further delineate the uterine lining and see subtle issues with the cavity, including uterine polyps (common, benign overgrowths of the uterine lining). If left untreated, polyps may increase a woman’s risk of infertility and miscarriage. A SIS can also give a clearer view of the uterine shape, and can help determine if a fibroid (benign tumor of the uterine musculature) needs to be removed.
A hysteroscopy is a procedure which allows direct visualization of the uterine cavity with a camera. A thin, long camera called a hysteroscope is placed through the cervix into the uterine cavity. Certain uterine pathology such fibroids, polyps, and scar tissue, can be diagnosed and treated during hysteroscopy. However, some uterine issues, such as abnormal uterine shapes and intramural fibroids, are better evaluated through the use of SIS, 3D transvaginal ultrasound, and pelvic MRI.
Pelvic MRI is an excellent modality to evaluate the uterine cavity, especially when other procedures have not yielded conclusive results. MRI can be used to evaluate for adenomyosis, as well as help characterize certain uterine anomalies.
If you would like more information about fertility testing and treatment, please call 808-545-2800 to schedule an appointment with one of our physicians, or visit our website at https://www.ivfcenterhawaii.com/ for more information.



